日々是好日、ランRUN日和
かつては、サブスリーランナーとして幾多のレースを駆け抜けてきました。 怪我をして、一歩引いたところに身を置いたとき、新しい走りの楽しみを見つけに行きたくなりました。 日々是好日(ひびこれこうじつ)。 毎日が最良の日になりますように!
さて、
左の足の母指球付近の強烈な痛みでモートン病の診断を受けたのは、9月30日のことでした。
痛みの発症は前日の29日からでして、
そこからほとんど走っていません(先週の休日にうっかり走ってしまったのは、前回記事の通り)
で、
今週は全く走っていません。
ちなみに、
毎日走るのが日課でしたので、走らない日々は地味にフラストレーションが溜まるもの
ですが、
ここはぐっと我慢しないと、又すぐに痛みが再発してしまいます。
ので、
今週もランオフにしています
ちなみに、
今日(10月11日)現在の痛みの状況はというと、
母指球部分を押すと、ピリッとくる圧痛がある程度ですので、通常の歩行には全く支障がない状況になりました。
ので、
もう少しで完治しそうですね
と、いうことで、
今日もマグネットバイクを漕いで、最低限の運動をしたのでした(←ちなみに平日は、朝1時間で、今日は1時間半)
しかし、
バイクを漕いでも、やっぱりつま先に力が入るので、40分を過ぎるころには、親指にしびれが出てくるのは、完治していないことの表れなのだと改めて感じるのでした・・・
・・・・・・
さて、そんな我慢の日々!
10月6日(月)
会社に出社すると、「あるブツ」が机に置かれていました。
それは、
健康診断の結果!(←ついに来た!!)
はっきり言って、
ヤバイ匂いがプンプンしてましたw
で、
開けてみて、中を確認すると・・・・
要精密検査(←やっぱりねw)
の紙が同封されていました・・・・( ´Д`)=3 フゥ
ちなみにひっかかったのは、
γ-GTP高値 ・ 高血圧
の2点コンビのバリューセットでしたw
ちなみにγ-GTPの基準値は、一般的に「50 U/L 以下」で、
100 U/L 以上は、 アルコール性の肝障害や、脂肪肝が進行している可能性があります。
で、
200 U/L 以上になると 胆石や腫瘍などで胆道が詰まっている可能性も考えられます。
で、私の値は、147 U/L!!でした。
ちなみに、γ-GTPの数値だけで肝臓の状態を判断することはなく、必ず「AST(GOT)」と「ALT(GPT)」という他の肝機能の数値と合わせて、総合的に評価しますが、
「AST(GOT)」と「ALT(GPT)」は、正常値でしたので、一安心です(←ここが甘いw)
血圧については、
上が137で下が90と、「高め」の判断で、すぐに要検査ではありませんが、
γ-GTPが引っかかって、大酒のみなので、一緒に見てもらうことになりそうです。
ちなみに、
この数値を、ChatGPT君に診断してもらった結果・・・
【あなたの今の体の状態】
あなたの数値や生活習慣から、体は「まだ大きく壊れてはいないが、確実に負担がかかってきている」状態と考えられます。
あなたの数値や生活習慣から、体は「まだ大きく壊れてはいないが、確実に負担がかかってきている」状態と考えられます。
1. γ-GTPが147(基準値上限:男性で50程度) → 明らかに高い
AST・ALTが正常なので、肝細胞自体は破壊されていない
でも、γ-GTPだけが高いのは、**主に「アルコールの影響」**が強く疑われます
お酒:週4~5日・1日4合(約720ml) → 明確に多い
4合は日本酒でアルコール約72g →(かなり多め)
男性の適正飲酒量は1日20g程度 → あなたは1日で3倍以上(←シャア並w)
この量だとγ-GTPが高くなるのは自然なことです
2. 血圧:137/90 → 高血圧の境界線
判定 :正常高値~高血圧ステージ1
今は「軽度の高血圧」で、まだ薬は不要なことが多いですが、
放置すると動脈硬化 → 心筋梗塞・脳卒中のリスクが高まります
アルコールは血圧を上げるため、γ-GTPの問題と連動してます
・・・と、いうことでした
ので、
今週は、完全禁酒!(←当たり前w)
で、
1滴も口にしていません
ので、
精神的にきつい!!(←アルコール依存症患者の意見)
でも、
肝機能の数値は、禁酒2週間ほどでかなり改善するようなので、ちょっとは努力してから医者に行こうと思っています。
で、
血圧の方は、家に血圧計があるので、計ってみました・・・
(゚Д゚)ハァ? 数値がバグってるw
そんな・・・・バカな・・・・???
この数値を、ChatGPT君に入れたら、
**血圧「178 / 132 mmHg」**は、非常に危険なレベルです。
って出たw(←そりゃそーだ)
でもこれ、なんかおかしくない???
流石に、短期間でこんなに悪くなる??
ってか、
下が132って、脳梗塞や心筋梗塞のレベルらしい・・・
(´ε`;)ウーン…
15年くらい使ってる古い機械だしな~(←機械のせいにする末期w)
・・・・・
納得いかね~から、買ってきた!(←これも病気だなw)
しかも、
ちゃんと計れそうな、「上腕式」です!
さっそく、
開封して、計測・・・・
で、
やっぱり、軽度の高血圧だけで、
死のレベルではなさそうw(←これでホッとしてはいけないw)
でも、
高いことには変わりがないので、
塩分も控えないといけないようです・・・Orz
・・・・・・
走っちゃダメ!・呑んじゃダメ!・塩分ダメ!
ギャアァァァァ━━━━━━(|||゚Д゚)━━━━━━!!!!!!
ストレスで死にそうですw(←享年53歳)
本日のラン ・・・走っちゃダメなんだって
PR
            今年は、なんだか、病院に行きまくってる感じですねw
・・・というわけで、
今週は、
口腔外科に行ってきました!(←日本赤十字病院)
で、
本日行う手術は・・・・
そう、
横向き親知らずの抜歯
です!
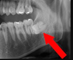
ちなみに、どうゆう状況かというと、
こういう状況ですw
親知らずが、あろうことか真横に生えてきていて、
奥歯(大臼歯)にめり込んでいるんです
ので、
このままいくと、大臼歯が死滅してしまうので、親知らずを抜いておきましょう!
ということになったんです。
・・・・・・・
さて、
この真横に生えた親知らずは、真っすぐ生えた親知らずのように、
「引っこ抜く」
ということができません(横向きだもんね)
なので、
まず、
埋没した歯を露出するために、歯茎をメスで切開します(←もうグロイw)
で、
横向きの歯を露出させるため、骨膜をはがし、歯が出てきたら、
歯を分割させて除去するために、歯を割っていきます、
で、
歯を割っては取り除きを繰り返して、完全に除去します。
・・・・・・・
で、
私の場合、歯は顎にも癒着しているので、
顎の骨も削り、
何とか親知らずの抜歯ができました。
ちなみに
手術時間は40分ほど・・・・
で、
親知らずがとれ、私の口は、1本の親知らずもない状況になりました♪
・・・・・
さて、
施術は5月15日(水) 13時から行いました
ので、
施術後は会社に戻り、ふつーに仕事をして帰宅
しましたが、
麻酔が切れてた夕方ごろから、激痛ー!!
が走り、
仕事も集中できずw
帰宅も必死で、
帰った後は、鎮痛剤を飲んでも痛みが消えず、
ほとんど寝れないまま、朝を迎えました・・・・・
で、
翌、16日
痛みをこらえて出勤・・・・
この日は、私の主催した勉強会があるので、部下の為にも這ってでも出席(←謎の責任感w)
で、
この日も何とかクリアしました
が、
抜歯の痛みは、抜いた場所だけではなく、
脳まで痛くて(←マジで、脳を締め付けられるような痛み)
ほとんど仕事の記憶がありません(←仕事をしてないわけじゃないよw)
ちなみに、
この日も痛みでほとんど眠れませんでした・・・
・・・・・・・・・・
17日(金)
2日間ロクに寝ていないので、
朝ランはしていません(←ってか、ムリ!)
で、
睡眠不足で、会社に向かう電車では、意識を失いそうになるほど眠い・・・
でも、
なんとか、会社に出勤して、仕事をしますが、
抜歯の痛みで、集中力はありません(←歯を抜かなくてもないけどww)
ちなみに、
医者からもらった鎮痛剤(←ロクに効かなかったw)
は、底をつき、
更に仕事にも支障をきたしそうなので、
この日は、かかりつけの歯科医に行って、
抜歯後の消毒を名目に、鎮痛剤を処方してもらいました♪
・・・・・・・・
と、いう訳で、
痛みは何とか3日ほどで鎮痛剤のおかげで、だいぶ楽になりました
が、
今回は、下の親知らずということで、
神経の近くにあったことも災いして、
下あごがマヒしています!!
そう、
下の親知らずは、すぐそばに太い神経が通っているため、抜歯によって麻痺が出ます。
私はまさにその麻痺が強く出て、
抜歯後三日経ちますが、下あごから下の唇にかけて麻痺により感覚がありません。
ので、
食事をすると、下唇を噛んでしまったり、
色々と難儀しています。
・・・・・・・・・
今日は3日ぶりにランニングをしましたが、
15km走るのが精一杯で、
走っていてもなんだかボロボロ・・・・・
下あごのしびれも取れませんでした・・・・・・
来月は、ハーフマラソンがありますが、
走れるのかどうかわかりません?????
とにかく、
早く元の体に戻れるように、
ゆっくりと静養したいと思います。
なんだか、
このところ、体がボロボロです・・・・
昨日の帰宅時
いつもの満員電車
もみくちゃの中で本は読み終えてしまったものしかなく、
U−nextで録画済みのアニメをみながら帰ろうとしました。
始発駅なので、発車まで数分待ち、電車が動き出しました。
すると・・・
き・・・気分が悪い・・・・
で
気がつくと・・・
次の駅で救急隊員に囲まれてた!?
で、
救急車で病院に搬送され、この日できる検査を受け、
何があったかの説明を受け、
ECU(救急集中治療室)に運びこまれてしまいました。
で、緊急入院となりました。
どうやら私は、車内で意識を失ったあと、8分ほど痙攣していたそうです。
ので、
車内は騒然としたことでしょう。
とりあえず、しばらく入院して検査と静養をします。
~ 2021年5月に49歳になった時のブログにて ~
>毎年ゴールデンウィークの終わりと共に歳を重ね、
>
>49歳になりました。
>
>49・・・死に苦しむ・・・・・
>
>最悪の語呂合わせの年齢ですw
という、嫌な出だしで綴ったブログからわずか数日後・・・
急性膵炎を発症!
して、
入院することになりました。
という、嫌な出だしで綴ったブログからわずか数日後・・・
急性膵炎を発症!
して、
入院することになりました。
その後は、断酒という、地獄のリハビリが続き(←薬物中毒の治療はキツイよw)
地獄のような日々を過ごしました。(←今も継続中)
で、
仕事のストレスに加えて、断酒のストレスも加わったせいか、
今年の1月には、帯状疱疹を患い、顔面に激痛を味わいました。
本当に、苦しみを散々味わった49歳でしたが、50歳まであと2ヶ月も残っています。
ので、
残るは、「死」あるのみです・・・
そんな、不吉な予感漂う中、
3月1日に人間ドックを受けてきました。
ちなみに
酒もやめ、高脂血症の薬も飲み、
万全の状態で挑んだはずでしたが・・・・・
腹部エコー検査で、膵管拡張(すいかんかくちょう) の異常所見がありました。
(。´・ω・)ん? 「膵管拡張?」
あまりメジャーではない異常所見ですので、どういうことかを説明すると、
(ネットから丸パクw)
膵臓にある主膵管の太さは、正常の成人で直径1ミリ以下です。一般的な超音波検査で、かろうじて見える程度の太さなので、超音波検査ではっきり見えたら、「主膵管の拡張」と判定されます。拡張が進むと、腹痛などの症状が表れます。
主膵管が拡張するのは、主に二つの原因が考えられます。
一つは、主膵管に膵液の流れをせき止めるような変化が起きている場合です。主膵管に小さな腫瘍(しゅよう)ができたり、狭い領域に膵炎が起こったりして生じます。膵液がせき止められると、主膵管は太くなります。
もう一つは主膵管の中を流れる膵液がねっとりした流れにくい状態に変化し、主膵管の中の圧力が高くなって太くなる場合です。これは、膵臓内の管の壁の細胞が粘液を作る細胞に変化した結果起こります。変化した細胞は、腫瘍化することが多く、時間がたつと癌になることもあります。
「主膵管の拡張」は、膵臓に何らかの病変が生じていることを示す最初のサインです。
精密検査で小さな早期の膵臓がんが見つかることもあります。専門医に相談し、造影剤を使ったCT(コンピューター断層撮影法)やMRI(磁気共鳴画像)などの検査を受けることをお勧めします。
と、いうことで、
主膵管拡張は一般的には「膵がん」を疑う与件ということなんですね。
ちなみに、膵がんは難治性のがんで知られ、
5年生存率は、ステージ2で僅か20%ほどしかなく、ステージ3では6~7%、ステージ4では1%くらいしかなく、ほとんど助かりません。
上記の通り、正常な状態で1mm以下の主膵管ですが、私の場合は、

3.7mmも あったそうで、
超ヤバイ感じでした。
ので、
ドックの検査終了後に、すぐに医師に呼ばれ、
膵管拡張についての説明を受けました。
で、
通常なら、1週間~10日ほどで郵送される検査結果が即日交付され、
さらに、
精密検査の依頼書も即日交付。(←前述の通り、「造影剤を使ったCT」と「MRI」検査要請)
くわえて、
予断を許さない状況から、その日のうちに精密検査の日程どりを行い、
本日、
 
 
造影剤をブッコんでのCT撮影となりました。(←造影剤投与用の管を先に刺された状態で待っている図)
・・・・・・・・
で、
 
 
CT検査を実施・・・
した結果、
CT検査では、特に異常が見当たりませんでした。(←とりあえず、いい情報)
が、
膵臓は、非常に検査しにくい臓器で、多方面から確認しないと、病巣を見落とす可能性が高いので、
今度は、大きい総合病院でMRIを受けることになりました。(←紹介状と検査予約を今日の病院でとってもらえることになりました)
果たして結果は如何に?
来週あたりに結果がわかりそうです。
ちなみに以下は、我が家で行われたマジの会話です。
【ドキュメント】~我が家のリアル
(私)今日ドックで「膵臓癌の疑いのある」膵管拡張を指摘されたんだけど
(妻)うそー!?
(私)いや、マジで。すぐに精密検査の予約入れられた。
(妻)それってヤバイの?
(私)マジでヤバイ
(妻)余命宣告された?(←何言ってるの?)
(私)それは、まだ
(妻)ねぇ、がん保険入ってる? 生命保険下りてくる?
(妻)ねぇ、保険金全部でいくら貰えるの?
(私)・・・・
・・・・・くそっ! 簡単には死にません!(←簡単に保険金はやらんぞ!)
さて、
そんな先行き暗い中ですが、
明るい話題として、先日娘が高校の卒業式を迎えました。(←3/2卒業)
なので、
記念に私の遺影も撮りましたw(←娘の高校は制服が無いので、スーツで出席)
 
 
(私の顔部分だけを切り取れば、遺影の出来上がりw)
ちなみにこれは、
12年前の娘の卒園式の朝と同じように
 
 
玄関先で撮りました。
ちなみに保育園の卒園式は夫婦二人で出席できましたが、高校の卒業式はコロナの関係で、ひと家族1名までの出席制限付きなので妻が出席しました。(←なので、私は普通に出社しました)
・・・・・
と、いうことで、
2年後もこの世にいられたら、娘の成人式の晴れ着と共に、また玄関で写真を撮りたいと思っています。
本日のラン 10.51km 56分14秒 (病院検査前のゆるジョグ)
            精密検査で小さな早期の膵臓がんが見つかることもあります。専門医に相談し、造影剤を使ったCT(コンピューター断層撮影法)やMRI(磁気共鳴画像)などの検査を受けることをお勧めします。
と、いうことで、
主膵管拡張は一般的には「膵がん」を疑う与件ということなんですね。
ちなみに、膵がんは難治性のがんで知られ、
5年生存率は、ステージ2で僅か20%ほどしかなく、ステージ3では6~7%、ステージ4では1%くらいしかなく、ほとんど助かりません。
上記の通り、正常な状態で1mm以下の主膵管ですが、私の場合は、
3.7mmも あったそうで、
超ヤバイ感じでした。
ので、
ドックの検査終了後に、すぐに医師に呼ばれ、
膵管拡張についての説明を受けました。
で、
通常なら、1週間~10日ほどで郵送される検査結果が即日交付され、
さらに、
精密検査の依頼書も即日交付。(←前述の通り、「造影剤を使ったCT」と「MRI」検査要請)
くわえて、
予断を許さない状況から、その日のうちに精密検査の日程どりを行い、
本日、
造影剤をブッコんでのCT撮影となりました。(←造影剤投与用の管を先に刺された状態で待っている図)
・・・・・・・・
で、
CT検査を実施・・・
した結果、
CT検査では、特に異常が見当たりませんでした。(←とりあえず、いい情報)
が、
膵臓は、非常に検査しにくい臓器で、多方面から確認しないと、病巣を見落とす可能性が高いので、
今度は、大きい総合病院でMRIを受けることになりました。(←紹介状と検査予約を今日の病院でとってもらえることになりました)
果たして結果は如何に?
来週あたりに結果がわかりそうです。
ちなみに以下は、我が家で行われたマジの会話です。
【ドキュメント】~我が家のリアル
(私)今日ドックで「膵臓癌の疑いのある」膵管拡張を指摘されたんだけど
(妻)うそー!?
(私)いや、マジで。すぐに精密検査の予約入れられた。
(妻)それってヤバイの?
(私)マジでヤバイ
(妻)余命宣告された?(←何言ってるの?)
(私)それは、まだ
(妻)ねぇ、がん保険入ってる? 生命保険下りてくる?
(妻)ねぇ、保険金全部でいくら貰えるの?
(私)・・・・
・・・・・くそっ! 簡単には死にません!(←簡単に保険金はやらんぞ!)
さて、
そんな先行き暗い中ですが、
明るい話題として、先日娘が高校の卒業式を迎えました。(←3/2卒業)
なので、
記念に私の遺影も撮りましたw(←娘の高校は制服が無いので、スーツで出席)
(私の顔部分だけを切り取れば、遺影の出来上がりw)
ちなみにこれは、
12年前の娘の卒園式の朝と同じように
玄関先で撮りました。
ちなみに保育園の卒園式は夫婦二人で出席できましたが、高校の卒業式はコロナの関係で、ひと家族1名までの出席制限付きなので妻が出席しました。(←なので、私は普通に出社しました)
・・・・・
と、いうことで、
2年後もこの世にいられたら、娘の成人式の晴れ着と共に、また玄関で写真を撮りたいと思っています。
本日のラン 10.51km 56分14秒 (病院検査前のゆるジョグ)
え~、まぁ、
ほんとうにネタに事欠かない人生を歩んでいるものだと思わずにはいられません。
何があったのかは、これからお話したいと思いますが、
その過程で、顔写真を載せざるを得ない状況となりました。
これまで、
画像加工した顔写真は何度か載せましたが、今回は、「目線」は入れたものの、
マジもんの顔写真です。(←どこに向かってるんだ?)
ので、
今回の出来事は、「顔」にまつわるお話とだけ、冒頭に掲げておきたいと思います。
・・・・・・・
遡る事、二日前(1月27日)
仕事をしていると、急に著しい倦怠感と右側の鼻と目の周りに腫れを感じました。
「体調が悪いな」
と、感じている矢先に、追い打ちをかけるように超ムカつくことが起こり
「もう、やってられん!」
っていうことで、会社を早退してきました。
何があったかは、書き出すと小説1本分の出来事になってしまうので、割愛しますが、
とにかく今日は、さっさと帰って、気持ちの整理をつけようと思いました。
ので、
15時半位には帰宅したんですが、
しばらくはイライラしつつも本を読みながらリビングでゴロゴロ・・・
で、
しばらくたっても調子が悪いままだったので、(←最初はコロナかと思った)
その後は、夕食もとらずに、栄養剤4錠(2日分の量)を一気に飲み込み、
夕方6時ごろからベットに入り、只々ひたすらに睡眠をとりました。
・・・・・
翌朝(1月28日)
体調は更に悪化・・・
熱はないものの、鼻の右側の腫れはさらに酷くなり、右目のまぶたも腫れて、痛みもありました。
症状と元々の持病でもある「酷い鼻炎」から推測するに、
「副鼻腔炎」かな?
って思い、
この日は会社に行く前に「耳鼻科医院」に向かいました。
で、
症状を医師に伝えると、
(医)先ずは写真を撮らせてくれる?
ってことで、
顔の写真を撮りました。
それが、これです・・・(←いよいよ、顔ばれ??)
(b´∀`)ネッ! マジもんの顔写真でしょw(←X線で撮ってるけどw)
え~、
この写真から、わかったことは、
「副鼻腔炎」にみられる、化膿による「膿」は、見当たらないという事。
で、
懸念していた副鼻腔炎ではないとの診断が出ました。
ちなみに、
私も(コッソリ)レントゲン写真をスマホで撮ってきましたから、帰宅後、写真をよ~く見てみると・・・
あることに気づきました!
(´ε`;)ウーン…
脳の容積から推測するに、
この辺に近いな・・・www
・・・・・・
さて、
副鼻腔炎じゃなかったら、何なのか?
ってことになるんですが、
医師が、顔の症状を確認し、
・腫れや赤みが、顔の右側にしかない事
・右の小鼻とその周辺に「水疱」ができていること
・倦怠感を含めた体の不調
などを鑑みるに、これは、
「帯状疱疹」
だと、診断されました!
【帯状疱疹とは】
帯状疱疹は、水ぼうそうと同じウイルスで起こる皮膚の病気です。
体の左右どちらかの神経に沿って、痛みを伴う赤い斑点と水ぶくれが多数集まって帯状に生じます。
症状の多くは上半身に現れ、顔面、特に目の周りにも現れることがあります。
加齢、疲労、ストレスなどによる免疫力の低下が発症の原因となることがあります。50歳代から発症率が高くなり、80歳までに約3人に1人が帯状疱疹を発症するといわれています。
加齢、疲労、ストレスなどによる免疫力の低下が発症の原因となることがあります。50歳代から発症率が高くなり、80歳までに約3人に1人が帯状疱疹を発症するといわれています。
(´ε`;)ウーン…
考えてみたら、
昨年末から、仕事の関係上、ストレスの嵐で、
うぉー!
って、叫びたくなることが山ほどあったのに、
そんな私の心を慰めてくれる、唯一無二の親友だった、
酒と絶縁中で(←禁酒8カ月経過)
そこに、とどめのように、怒り心頭となる出来事が起こったばかりだったので、
遂に
ストレス ( ゚д゚)ドカーン!!
になっちゃって、
帯状疱疹が爆発してしまったようでした。
ので、
本当なら、このまま会社を休みたいところでしたが、
やらなきゃならんことがたくさんあって・・・
ってか、
そもそも、これで帰れるくらいなら、帯状疱疹になんかなっていないわけで・・・
処方された薬を手に、
しぶしぶ会社に出勤していったのでした・・・・・
ちなみに、
・昨年の膵炎
・持病の脂質異常症
の投薬は、今も続いており、
そこに今回の帯状疱疹も加わったので、
携帯するピルケースは、
こんな状態です・・・orz (←老人並みの投薬量だなw)
・膵臓の炎症を抑える「カモスタット」
・高脂血症薬の「フェノフィブラート」
・抗菌薬(経口投与)の「パラシクロビル」
・抗菌薬(塗り薬)の「ビタラビン軟膏」
・鎮痛薬の「ロキソプロフェン」
と、なっています。
ちなみに、鎮痛薬が入っていますが、
帯状疱疹は、「マジで痛い」
からです。
どんだけ痛いかは、YOUTUBE見てください。
自分はここまで痛くならずに済んでますが(←今のところ)
でも、ま、顔面が痛いです!
で、
発症の原因は、疲労・ストレスによる免疫力の急激な低下によるものですので、
薬をもらう際に、薬剤師さんとの会話で、
(薬)抗菌薬はすぐに飲み始めてほしいので、先ずは2錠飲んでください
(私)食事前ですけどいいですか
(薬)はい、今10時ですが、朝の分としてまず飲んでください
(私)はいわかりました
(薬)後は、ゆっくり体を休めてください。免疫力が落ちていますから。
(私)はい・・・あの、ランニングとかはしてもいいですか?
(薬)???(←このバカ、何言ってんだ?っていう間)
(薬)あの・・・、先ほどの通り、体は休めてほしいので・・・(←バカにどう説明したらいいか悩む様子)
(私)あっ(←やっと気づいた)
(私)あんまり、走っちゃダメだってことですよね
・・・・
ってことで、
本日(1月29日)
会社は土曜でお休みだったんですが、言われた通り、無理せずに
10kmしか走りませんでしたとさ
・・・・
さて、
50歳から急激に増えるといわれる「帯状疱疹」
50歳まで4カ月と数日というところで発症しました。
どおりでこのところ体がダルイな~、調子が悪いな~、と思っていたら、
こんなことになってしましました。
中高年の皆さんは、ストレスに注意しましょうね!
マジでしんどい病気だよ
本日のラン 上の通りです。
忍者カウンター
プロフィール
HN:
RX-93
性別:
男性
自己紹介:
          花の昭和47年生まれのアル中&メタボ中年が、何を血迷ったのか38歳からランニングを開始!
40歳でサブスリーを達成すると、42歳でフルマラソン2時間48分台を記録。
ランナーズのフルマラソン全日本ランキングのベスト100に掲載されると、有頂天もMAXに。
だが、
それが災いしたのか、その後は故障の連続。
ストレス解消のために走ったはずが、走れば走るほどにストレスに!?
サブスリー時代のブログを閉じて、新天地にやってきました。
毎日が、「日々是好日」。
ランRUN日和になりますように!
40歳でサブスリーを達成すると、42歳でフルマラソン2時間48分台を記録。
ランナーズのフルマラソン全日本ランキングのベスト100に掲載されると、有頂天もMAXに。
だが、
それが災いしたのか、その後は故障の連続。
ストレス解消のために走ったはずが、走れば走るほどにストレスに!?
サブスリー時代のブログを閉じて、新天地にやってきました。
毎日が、「日々是好日」。
ランRUN日和になりますように!
 


